Udostępnianie przypadków | Biodegradowalne zamknięcie ASD zgodnie z wytycznymi dotyczącymi wyłącznie TTE u anomalnego pacjenta wieńcowego
-
2025-08-11
-
LEPU
At Fuwai Hospital Shenzhen, Dr. Lu Yaoxing's team recently performed a successful transcatheter closure of a secundum atrial septal defect (ASD) using a MemoSorb biodegradable occluder in a 34-year-old male patient with a rare coronary anomaly.
Kluczowe informacje o sprawie:
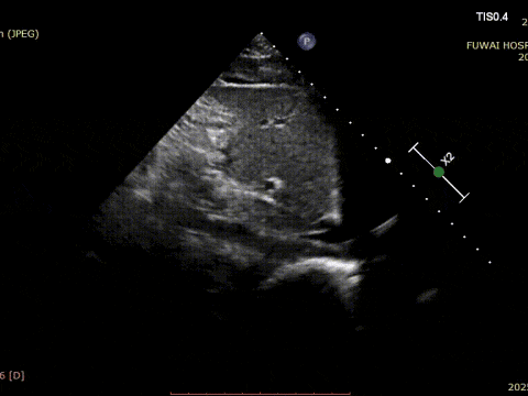
1. ASD był centralny w lokalizacji, ze zmierzoną średnicą około 8,1mm (widok bicaval) i 8,2mm (widok z krótkiej osi aorty).
2. CTA wieńcowa ujawniła anomalne pochodzenie lewej tętnicy okalającej (LCX) z prawej zatoki wieńcowej, z przebiegiem między aortą a lewym przedsionkiem.
3. odległość między ASD i anormalne LCX było tylko około 6mm.
4. Nie było obręczy aorty, a dolne i tylne brzegi były stosunkowo miękkie.
Biorąc pod uwagę bliskość ubytku do tętnicy wieńcowej, tradycyjny metalowy okluder stwarzał ryzyko kompresji, szczególnie podczas wysiłku fizycznego. Dlatego wybrano biodegradowalny okluder ASD (BDASD-I 18mm) ze względu na jego elastyczność, mniejsze ryzyko długotrwałego urazu mechanicznego oraz zdolność do degradacji do dwutlenku węgla i wody po zakończeniu funkcji zamknięcia.
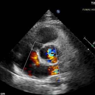
Procedura była prowadzona przez TTE zgodnie z procedurą PAN opracowaną w szpitalu Fuwai. Ta bezpromieniowa technika obrazowania w czasie rzeczywistym oferuje wizualizację anatomiczną w wysokiej rozdzielczości, zapewniając dokładne umieszczenie urządzenia i minimalizując komplikacje-szczególnie cenne u młodych pacjentów w wieku rozrodczym.
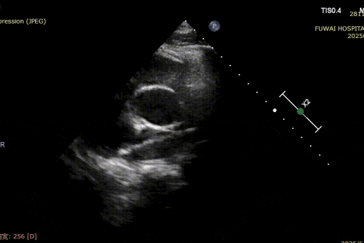
1-day postoperative TTE revealed that the occluder is in good shape without residual shunt (see last figure).
Contact us>>Marketing@lepu-medical.com
Visit lepumedical website for more >>En.lepumedical.com



