Dom>Aktualności
Udostępnianie przypadków | CLI Przewlekła okluzja leczona za pomocą ThorCrack IVL
-
2025-06-06
-
LEPU
Kliniczny przypadek Spotlight: CLI Przewlekła okluzja leczona ThorCrack IVL
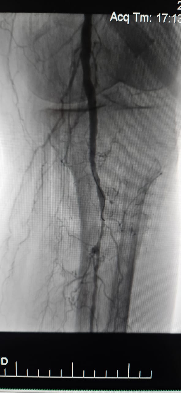
Cieszymy się, że możemy podzielić się udanym przypadkiem ze szpitala w Batumi w stanie Georgia, gdzie 78-letnia pacjentka z krytycznym niedokrwieniem kończyn (CLI) spowodowanym przewlekłym całkowitym niedrożnością tętnicy kończyny dolnej wykazała niezwykłą poprawę kliniczną po leczeniu za pomocą ThorCrack Peripheral IVL Balloon Dilatter Catheter System.
O cewnik dylatacji balonowej ThorCrack peryferyjny IVL
Cewnik ThorCrack Peripheral IVL Balloon Dilatation Catheter jest specjalnie zaprojektowany do przygotowywania zmian i rozszerzania balonu zwapniałych zwężeń (≥ 50%) w: tętnicy żylnej, tętnicy udowej, tętnicy iliofemoralnej, tętnicy podkolanowej, tętnicy nerkowej, tętnicy podkolanowej, tętnicy podkolanowej, tętnicy podkolanowej (poniżej kolana)
Kluczowe specyfikacje:
Maksymalne impulsy IVL: 300
Impulsy IVL dla cyklu: 30 (10 cykli)
Średnice balonu (mm): 3.0 / 3.5 / 4.0 / 4.5 / 5.0 / 5.5 / 6.0 / 6.5/6.5 / 7.0
Długości balonów (mm): 40/60
Compatible guidewire: 0.014"
Ten przypadek podkreśla wartość kliniczną litotrypsji wewnątrznaczyniowej (IVL) w leczeniu złożonych przypadków CLI z przewlekłą okluzją o długim segmencie-szczególnie u pacjentów z ciężkim zwapnieniem, gdzie tradycyjne balony lub urządzenia do aterektomii mogą mieć ograniczoną skuteczność.
Jesteśmy dumni, że ThorCrack IVL umożliwia lekarzom na całym świecie przezwyciężenie zwapniałych zmian, przywrócenie perfuzji i poprawę wyników leczenia złożonej choroby tętnic obwodowych.
Contact us>>Marketing@lepu-medical.com
Visit lepumedical website for more >>En.lepumedical.com



