Udostępnianie przypadków | Zamknięcie PFO w długim tunelu z biodegradowalnym okluderem MemoSorb
-
2025-04-28
-
LEPU
30-Year Migraine Relief & 1-Year Follow-Up: Long-Tunnel PFO Closure with MemoSorb Biodegradable Occluder
Today, we share a remarkable case highlighting 1-year post-op outcomes of MemoSorb in treating a complex long-tunnel PFO (12mm length, 1.4mm width), with a focus on serial echocardiographic evidence of device degradation and clinical symptom resolution.
Najważniejsze wydarzenia
Profil pacjenta: 53F, 30-letnia historia migreny (często jednostronna, trwająca od godzin do dni), 2 epizody synkopalne.
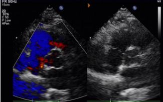
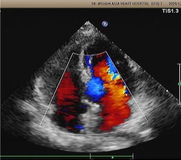
Diagnoza: Pozytywne badanie bąbelków.
Implant: 2424 MemoSorb®Biodegradowalny okluder PFO stosowany pod kierunkiem echa i DSA.
Kluczowe wyniki dotyczące dalszych obrazów
Dzień od 1 do 9 miesięcy:
Nie zaobserwowano szczątkowego bocznika.
Stopniowe zmniejszanie echogeniczności urządzenia.
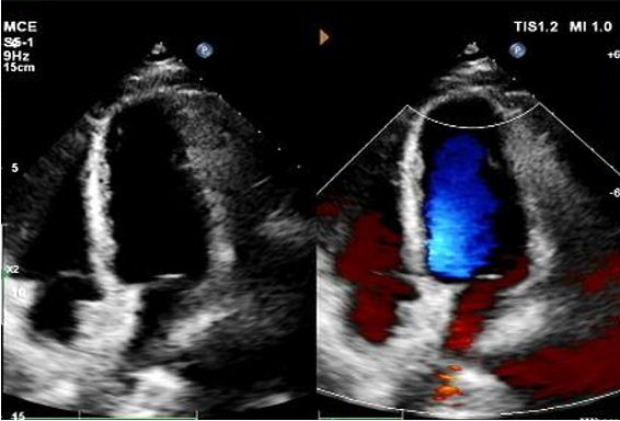
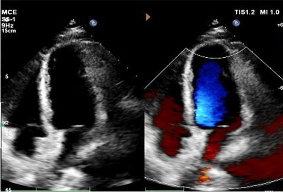
Echo 1-letnie:
No visible disc structures – replaced by 8mm tissue thickening at the septal implant site.
Zero residual shunt (rest or post-Valsalva).
Potwierdzono pełną absorpcję urządzenia.
Wyniki kliniczne:
1. Migraine frequency/severity significantly reduced post-implant.
2. No recurrence of syncope or neurological symptoms.
3. Patient-reported improved quality of life.
Contact us>>Marketing@lepu-medical.com
Visit lepumedical website for more >>En.lepumedical.com




