Udostępnianie przypadków | Biodegradowalny okluder PFO MemoSorb z powodzeniem radzi sobie z zamknięciem PFO o długości 33mm
-
2024-12-27
-
LEPU
Case Sharing | MemoSorb biodegradable PFO occluder successfully tackles the 33mm ultra-long tunnel PFO closure
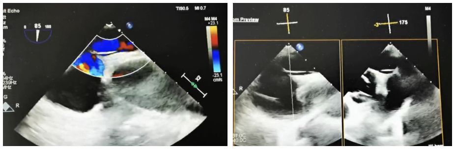
Case Information: A 60-year-old male patient was admitted to the neurology department after experiencing "left-sided limb weakness". The patient underwent a routine transesophageal echocardiogram (TEE), which revealed a patent foramen ovale (PFO) (congenital type, 2.4mm in width, 33mm in length, with moderate shunting). Right heart echocardiography and bubble tests confirmed a grade II shunt.
Strategia kliniczna: Wybraliśmy BDPFO-I 2828 symetryczny okluder, aby zapewnić optymalne zamknięcie. W fazie uwalniania do pozycjonowania używano obrazowania DSA, podczas gdy naprowadzanie ultrasonograficzne było stosowane głównie w celu zapewnienia dokładnego rozmieszczenia.
Podsumowanie przypadku: Ze względu na długość tunelu konwencjonalne prowadniki cewnika i podparcie osłony przegrody nie były skuteczne. W szczególności zastosowano w tym przypadku prowadnicę wieńcową połączoną z osłonką punktową przegrody, która z powodzeniem przekroczyła przegrodę. W przypadku stosowania tradycyjnych metalowych oklustrów do długich tunelowych zamknięć PFO, sztywny materiał i stała pozycja w talii często uniemożliwiają pełne rozszerzenie lewego dysku. Może to spowodować wciągnięcie dysku do tunelu, prowadząc do szczątkowego manewrowania. Natomiast biodegradowalny okluder, dzięki swojej silnej podatności, pozwolił talii na pełne wypełnienie tunelu i uzyskanie skutecznego zamknięcia.
To udane zamknięcie dodatkowo potwierdza skuteczność biodegradowalnych okluderów PFO w leczeniu złożonych przypadków PFO.
Contact us>>Marketing@lepu-medical.com
Visit lepumedical website for more >>En.lepumedical.com



