Kliniczny reflektor | Leczenie wielu tętniaków za pomocą Nuva®Przepływ Diverter i Perdenser®System cewek embolicznych
-
2025-07-23
-
LEPU
Pacjent: Kobieta, 48 lat
U pacjenta zdiagnozowano nowo odkryty tętniak sakularny tętnicy przedniej łączącej (AComA) oraz tętniak tętnicy łączącej tylnej (PComA), który był wcześniej leczony embolizacją cewki. Dalsze obrazowanie ujawniło resztkowe wypełnienie tętniaka PComA, wymagające dodatkowej interwencji.
Procedura
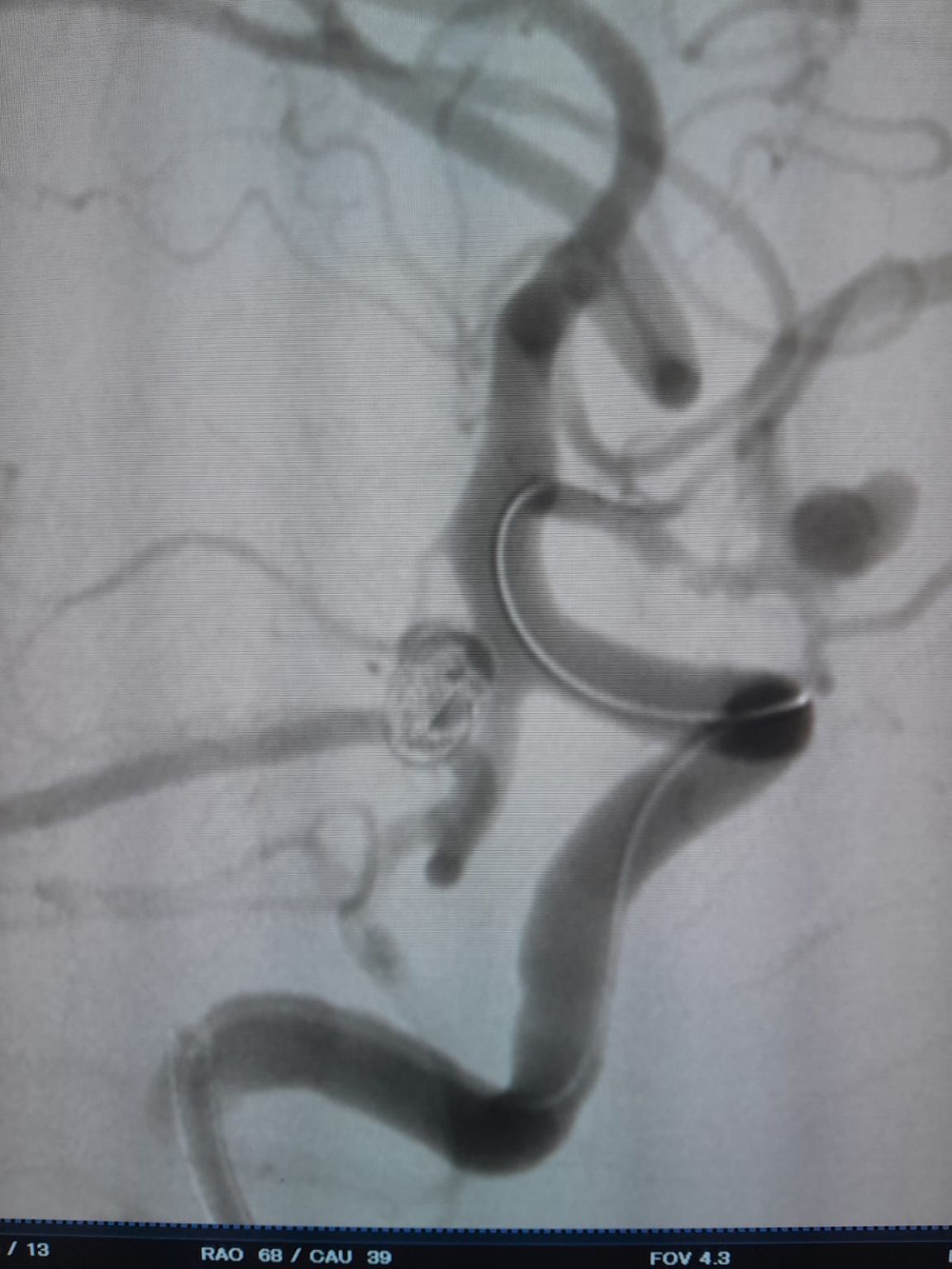
Przedni, komunikujący się tętniak tętnicy
Ustanowiono dostęp naczyniowy, a następnie zespół z powodzeniem przeszedł przez Frepass®Jednorazowy mikrocewnik (TJMC14) do miejsca docelowego. Embolizację przeprowadzono przy użyciu trzech Perdenser®Embolic Coil System (TJCST4.508-3D, TJCST0306-3D, TJCST0206-3D) wdrożony wraz z Deromper®Kontroler odłączenie cewki (TJCDC).
Tętniak tętnicy komunikującej się w tylnej części (ponowne leczenie)
Podczas obserwacji odnotowano wypełnienie szczątkowe w wcześniej leczonym tętniaku tętnicy łączącej tylnej. Zespół ponownie uzyskał dostęp do witryny za pomocą Frepass®Jednorazowy mikrocewnik (TJMC18 Plus) i pomyślnie wdrożył Nuva®Flow Diverter (TJED-D-4.5-16), który wykazał idealną przyłożenie do ściany i doskonałe przekierowanie przepływu, co prowadzi do bardzo zadowalających wyników leczenia.
Perdenser®I Nuva®-Niezawodne rozwiązania dla kompleksowego zarządzania tętniaka
Perdenser®: Precyzyjna embolizacja o dużej gęstości
Doskonała konformowalność i wysoka gęstość upakowania dla stabilnej okluzji tętniaka.
Pełna gama rozmiarów do kadrowania, napełniania i wykańczania.
Deromper®System odłączania zapewnia bezpieczny i niezawodny mechanizm natychmiastowego uwalniania.
Nuva®: Skuteczne rozwiązanie dla powtarzalnych tętniaków
Skuteczne rozwiązanie dla tętniaków z resztkowym wypełnieniem lub nawrotem po początkowym zwinięciu.
Płynna nawigacja i niezawodne wdrożenie.
Doskonała apozycja na ścianie i stabilne przekierowanie przepływu.
Nuva®Upraszcza ponowne leczenie, zmniejsza złożoność proceduralną i poprawia długoterminowe wyniki.
Dr. Rivera highly praised the handling, deliverability, and clinical results of TJWY's products, emphasizing their efficiency and reliability in complex aneurysm interventions. The smooth procedural experience and favorable imaging outcomes further strengthened his confidence in TJWY's neurointerventional solutions.
Contact us>>Marketing@lepu-medical.com
Visit lepumedical website for more >>En.lepumedical.com




