Udostępnianie przypadków | Ciężkie zwapnienie tętnicze kończyn dolnych leczone za pomocą IVL obwodowego ThorCrack
-
2025-09-11
-
LEPU
Pojemnik profilowy
· Płeć: Kobieta
· Wiek: 53 lata
·Chief Complaint: Bilateral foot necrosis with black discoloration for >6 months
· Wcześna historia medyczna: długotrwała hemodializa w schyłkowym stadium choroby nerek, nadciśnienia i cukrzycy ze słabą długoterminową kontrolą
Ustalenia kliniczne
· Badanie fizykalne: słabe pulsy udowe; brak pulsów podkolanowych i grzbietu pedis; owrzodzenie lewego pierwszego palca; martwica prawego pierwszego i drugiego palca
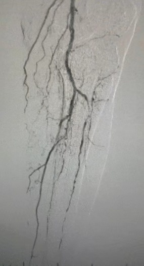
· Obrazowanie przedoperacyjne: Ciężkie, rozproszone zwapniałe zwężenie w obustronnych tętnicach kończyn dolnych
Podejście do leczenia
Biorąc pod uwagę złożony stan naczyniowy, wybraliśmy system cewnika dylatacji balonowej ThorCrack Peripheral IVL. Ze względu na ograniczoną tolerancję pacjenta wykonano etapowe zabiegi interwencyjne na obu kończynach dolnych.
Wynik chirurgiczny
Po zabiegu znacznie poprawiło się zwężenie tętnic, zwiększył się przepływ krwi i wzrosła temperatura skóry. Nie wystąpiły powikłania pooperacyjne. Zarówno pacjent, jak i zespół chirurgiczny byli bardzo zadowoleni z wyników.
Ten przypadek podkreśla znaczący przełom w małoinwazyjnym leczeniu ciężkiej miażdżycy kończyn dolnych, zapewniając skuteczniejsze rozwiązania w trudnych przypadkach.





